Blog記事一覧 > アイシング,エコー,ソフトキャスト,ビタミンC,ビタミンC,ビタミンC,プロテイン,保険適応,固定,微弱電流,捻挫,整形外科,栄養,物理療法,画像検査,病態把握,痛み,痛みの原因,蛋白質,超音波画像検査,足首捻挫,鑑別,間違った常識 > 足関節捻挫の再発機序:中臀筋機能低下と運動連鎖によるバイオメカニクス的考察
臨床現場において「捻挫は癖になる」という表現が多用されるが、これは組織の修復不全のみを指すのではない。
本質的には、受傷後に生じる神経・筋制御の破綻、すなわち「運動パターンの変容」が再発を招いている。
本稿では、足関節捻挫が運動連鎖に及ぼす影響と、その評価・介入について論じる。
足関節内反捻挫(主にATFL:前距腓靭帯損傷)が発生すると、局所の損傷に留まらず、同側の中臀筋(Gluteus Medius)の筋出力低下が引き起こされることが臨床研究により示唆されている。この現象は以下のバイオメカニクス的連鎖を招く。
つまり、局所の筋力トレーニングのみでは、この上位関節からの運動連鎖を修正できず、再受傷を繰り返す結果となる。

当院では、形態的評価と機能的評価を並行して実施する。
| 評価項目 | 観察・評価ポイント |
|---|---|
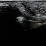
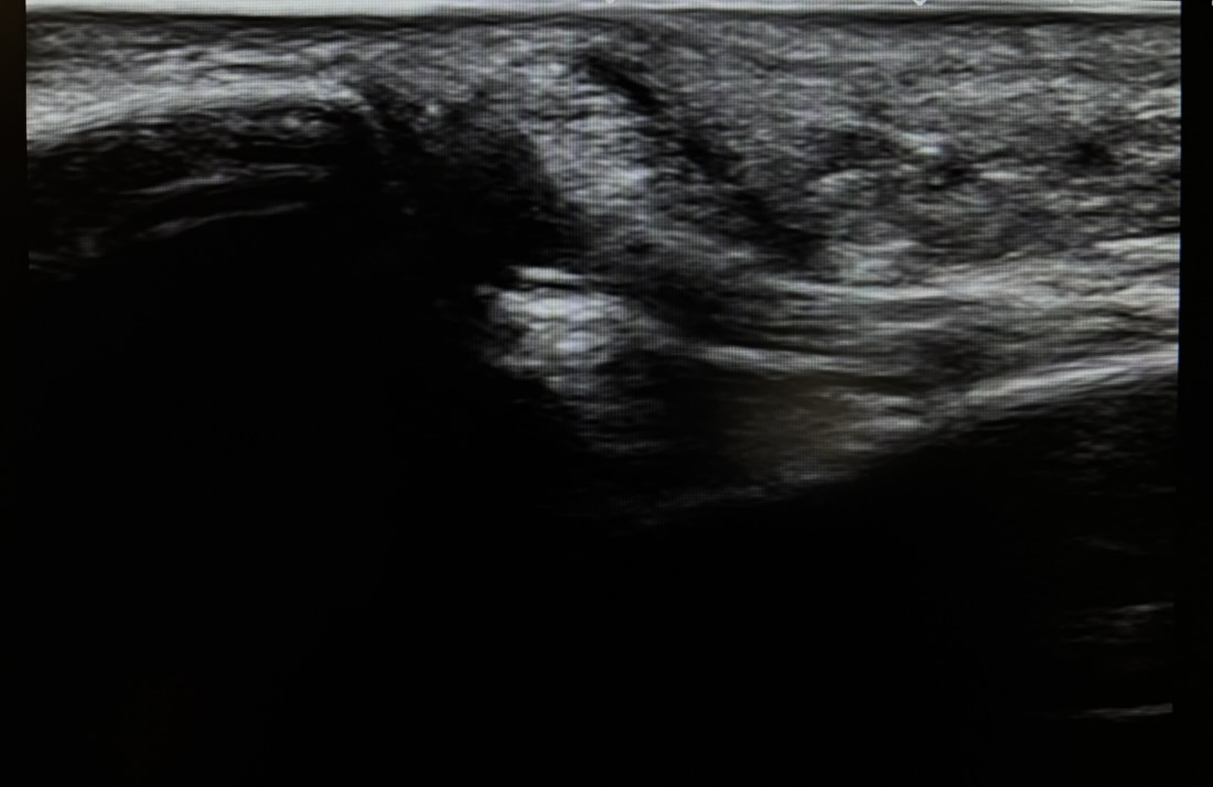
| 超音波画像観察(エコー) | ATFLの連続性、靭帯実質部の肥厚、前方引き出し試験時の動的不安定性の有無。 |
| メカノレセプター評価 | 片脚起立テスト等による、損傷靭帯部の固有受容覚フィードバックの欠如確認。 |
| 運動連鎖評価 | シングルレッグスクワット時の骨盤スウェイ、および中臀筋の徒手筋力テスト(MMT)。 |
急性期においては、アイシング後、ソフトキャスト等の固定材料を用い、解剖学的肢位での機能的な固定を行う。これは靭帯組織のリモデリング(改変期)を適正化し、機械的な安定性を担保するためである。
並行して、分子栄養学的視点からの介入も不可欠である。靭帯の主成分であるコラーゲン合成を促進するため、ホエイプロテインおよびビタミンC、鉄分の摂取を推奨する。組織の材料が不足した状態でのリハビリテーションは、修復遅延や慢性的な弛緩性を招くリスクがある。
また、酸素ボックスや微弱電流などの物理療法も併用し、組織修復を促進します。
再発防止の鍵は、損傷したメカノレセプターの代替機能構築と、中臀筋への促通にある。
靭帯損傷により局所からのフィードバックが低下しているため、視覚や他部位からの情報を用いた代償トレーニング、およびスクワット動作時における中臀筋の先行収穫(フィードフォワード制御)の再学習を行う。
足関節捻挫の再発は体質の問題ではなく、バイオメカニクス的な必然の結果である。足関節周囲の局所的アプローチに加え、中臀筋を起点とした運動連鎖の正常化を図ることが、真の機能回復におけるゴールである。